美国 RSD 带病理全身模体
类别:质控模体
品牌:美国RSD
销售热线:010-53326395,13520119027
美国 RSD 带病理的全身模体 RS-106T
具有16种病理和创伤的拟人化训练和教学模体
-幻影可拆卸成9个部分
-教学和培训放射技师的理想替代品体积小,重量轻,简化定位,大多数病人无法使用的视图无限重复
-提供有效的反馈以评估实习生的表现
-设计用于成像任何临床视图(正位,斜位,侧位,蛙腿等)
在Judy McNitt-Mell的专家协助下,该模型是一个解剖学和放射学正确的女性,专门为培训放射技术人员而设计。5英尺1英寸(156厘米)高,重105磅(48公斤),Pixy是一个可重复使用的,方便的替代品,几乎是坚不可摧的。
Pixy可带或不带腹部和盆腔器官:胃、胆囊、膀胱、肾脏、直肠和乙状结肠屈。这些器官充满空气,但接受水或造影剂,使用后容易冲洗。自定义病理和创伤可在额外的费用。是由符合解剖学保真度的软组织模具和骨架模具制成,允许无限曝光,展示不断变化的技术因素的影响,并允许对学生的表现进行评估。学生们毫无困难地操它进入最理想的位置,因为这个模体是为了容忍学员的错误而建造的。
病理和创伤
头部 下颌髁突骨折的头部移位
左侧颧额骨分离性骨折
左眶下缘台阶畸形
下颌骨骨折伴骨缺失
鼻骨骨折
颈部 C4+C5压缩性骨折
身体 左肩胛骨关节盂骨折
右外侧肋骨6+7处骨折
左肋骨8+9中外侧骨折
右12肋骨骨折
胳膊 左臂桡骨、尺骨移位性骨折
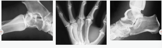
左手第三和第四掌骨骨折
胫骨近端骨折伴多发骨碎片
右腓骨远端轻度移位骨折
骨盆 骨盆左右耻骨支移位骨折
脚部 足跟骨右移位角骨折
型号 RS‐106T透明无填充端口,包括储物箱
包装尺寸包装重量
152W x 69D x 84H cm 111公斤
60W x 27D x 33H 245磅


摆放姿势图:

